31 Year-Oldkitc5i2018-11-02T14:40:38+00:00
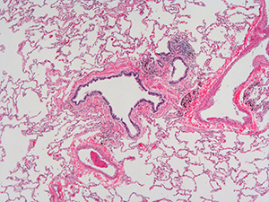
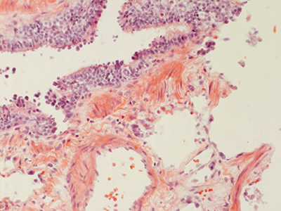
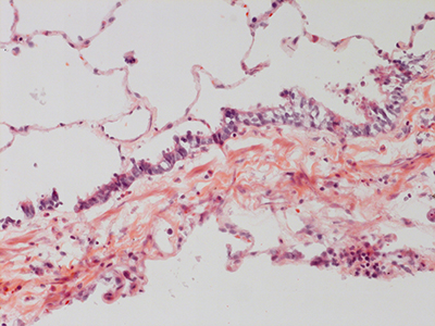
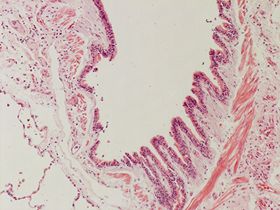
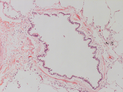
31 Year Old Adult Human Lung DD034L H&E
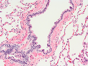
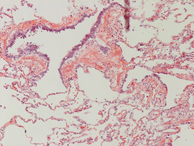
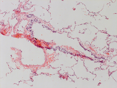
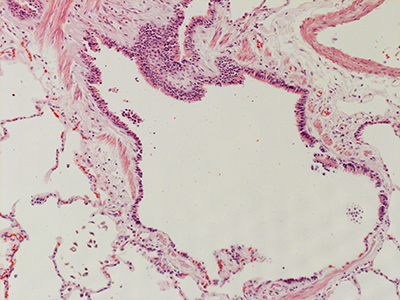
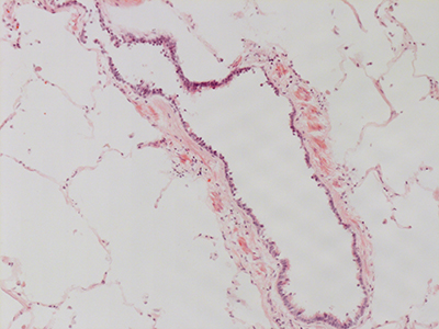
31 Year Old Adult Human Lung D0036 H&E
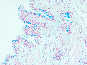
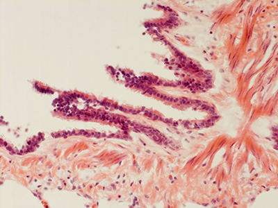
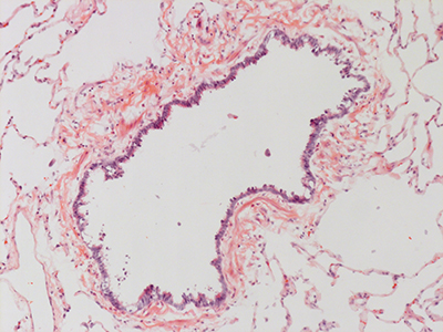
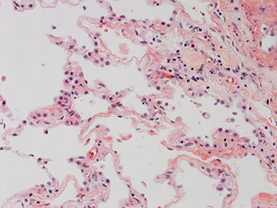
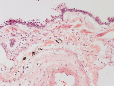
31 Year Old Adult Human Lung DD037 H&E
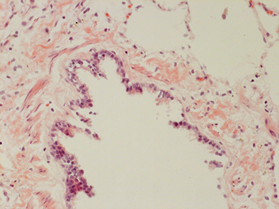
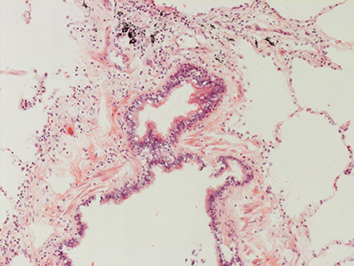
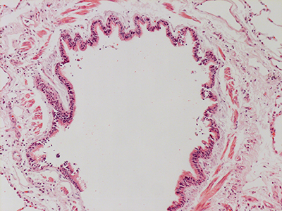
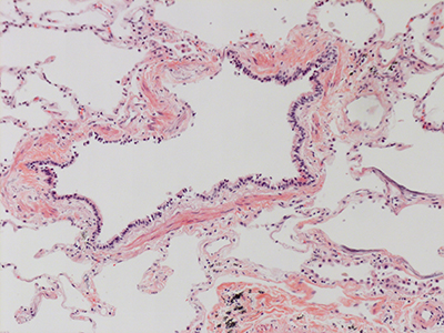
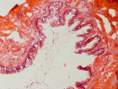
31 Year Old Adult Human Lung D003 H&E






























