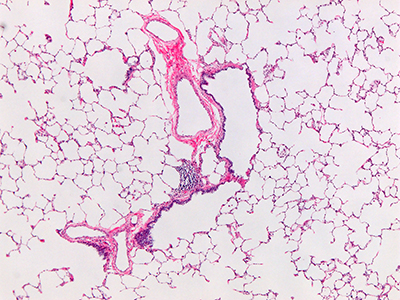
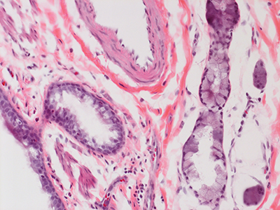
Control Human Lung H&E
Control Human Lung H&E 2 Year-Old Donor D022
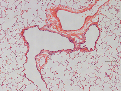
Control Human Lung H&E 3 Year-Old Donor D032
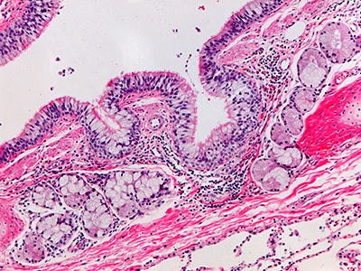
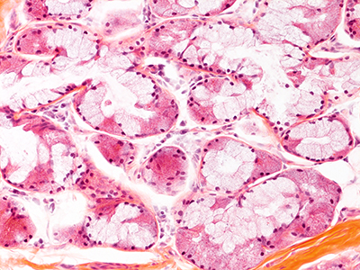
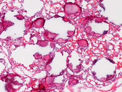
Lung Growth Disorder Human Lung H&E
Lung Growth Disorder Human Lung H&E 3 Year-Old Donor D015
Control Human Lung Confocal
Control Human Lung Confocal 2 Year-Old Donor D022
Control Human Lung Confocal 3 Year-Old Donor D032
Lung Growth Disorder Human Lung Confocal
Lung Growth Disorder Human Lung Confocal 3 Year-Old Donor D015






























