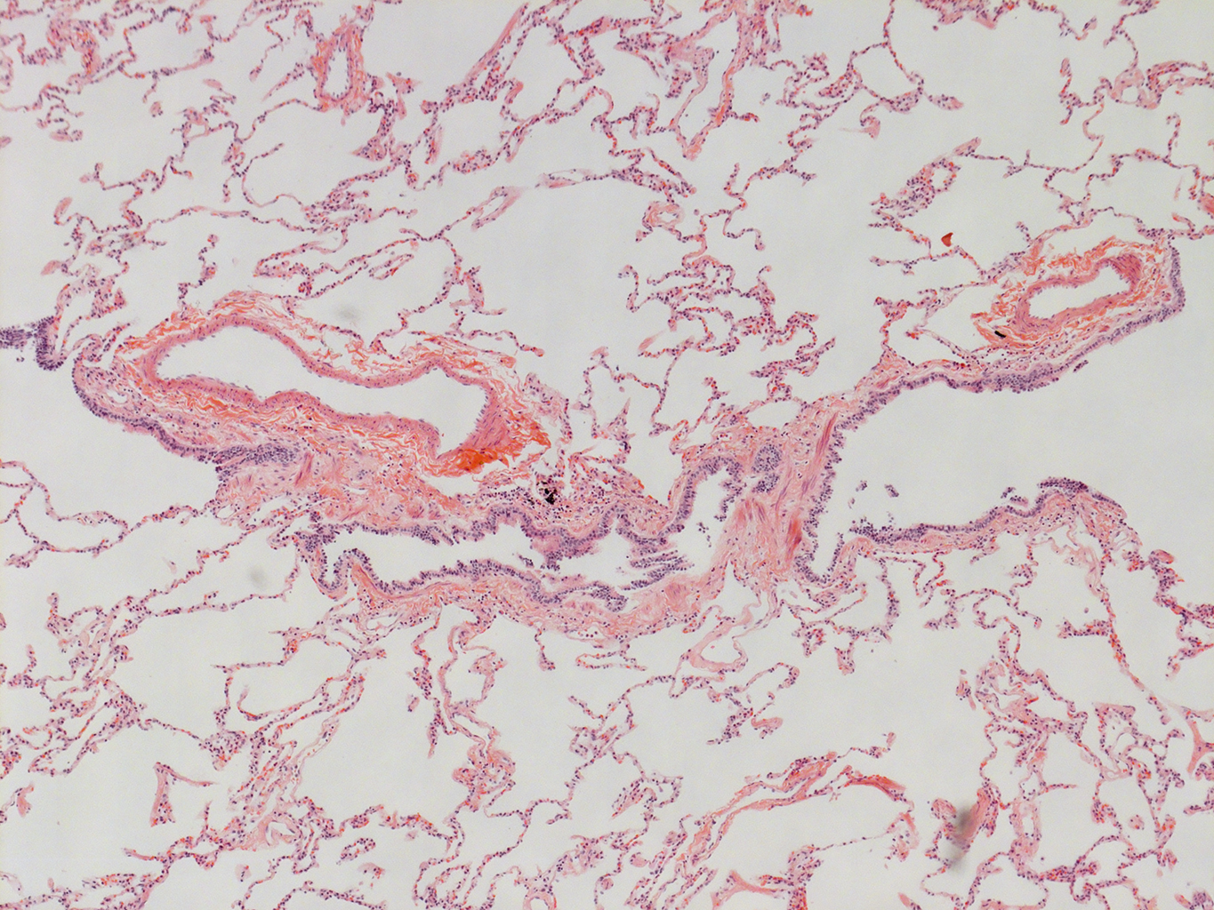
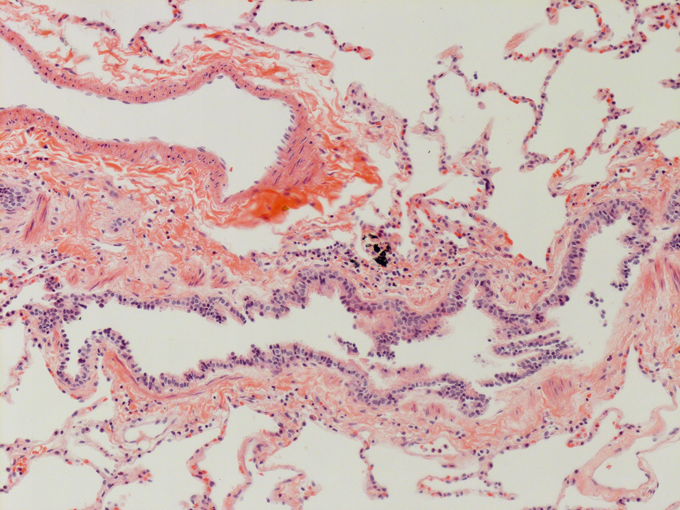
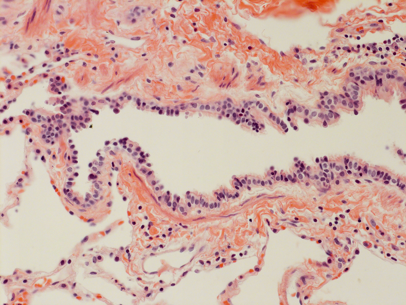
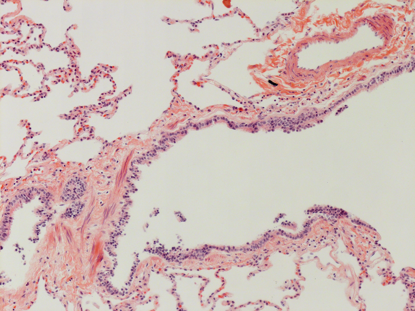
Donor tissue kindly provided by Dr. Scott Randell, University of North Carolina
- For Frozen tissue, rinse 2X in PBS, then 5 min in 4% PFA/PBS, then rinse 1X in PBS.
- Rinse slides 2X in dH2O for 20 dips each rinse.
- Rinsed slides for 3 minutes in running dH2O.
- Slides were then stained in filtered Hematoxylin for 60 seconds. (Gold Standard Harris Hemotoxylin, Acidified, Mercury; Cat # 24245 Polysciences Inc,).
- Rinsed slides in tap water until water turned cleared then rinsed in dH2O
- Rinsed slides in Lithium Carbonate: 20 dips. (Lithium Carbonate ACS Grade; Cat # 255823-500G Sigma Aldrich). Lithium carbonate is prepared by over-saturating in dH2O.
- Rinsed slides in dH2O 3X 20 dips.
- Rinsed slides in 70% ETOH for 20 dips.
- Rinsed slides in 80% ETOH for 20 dips.
- Stained slides in Eosin for 15 seconds. (Eosin Y 0.5% Alcohol Solution, Cat # 09859 Polysciences Inc,).
- Rinsed slides in a series of 95% ETOH washes. 10 dips for the first and second washes, 15 dips in the third and fourth washes.
- Rinsed slides 3X in 100% ETOH. 10 dips for the first and second washes and 15 dips in the third and fourth washes.
- Rinsed slides in 2X in Xylene, followed by 6 more washes in xylene.
- Coverslip with Permount. (Permount Toulene Solution UN 1294, Cat # SP-15-500 Fisher Scientific).
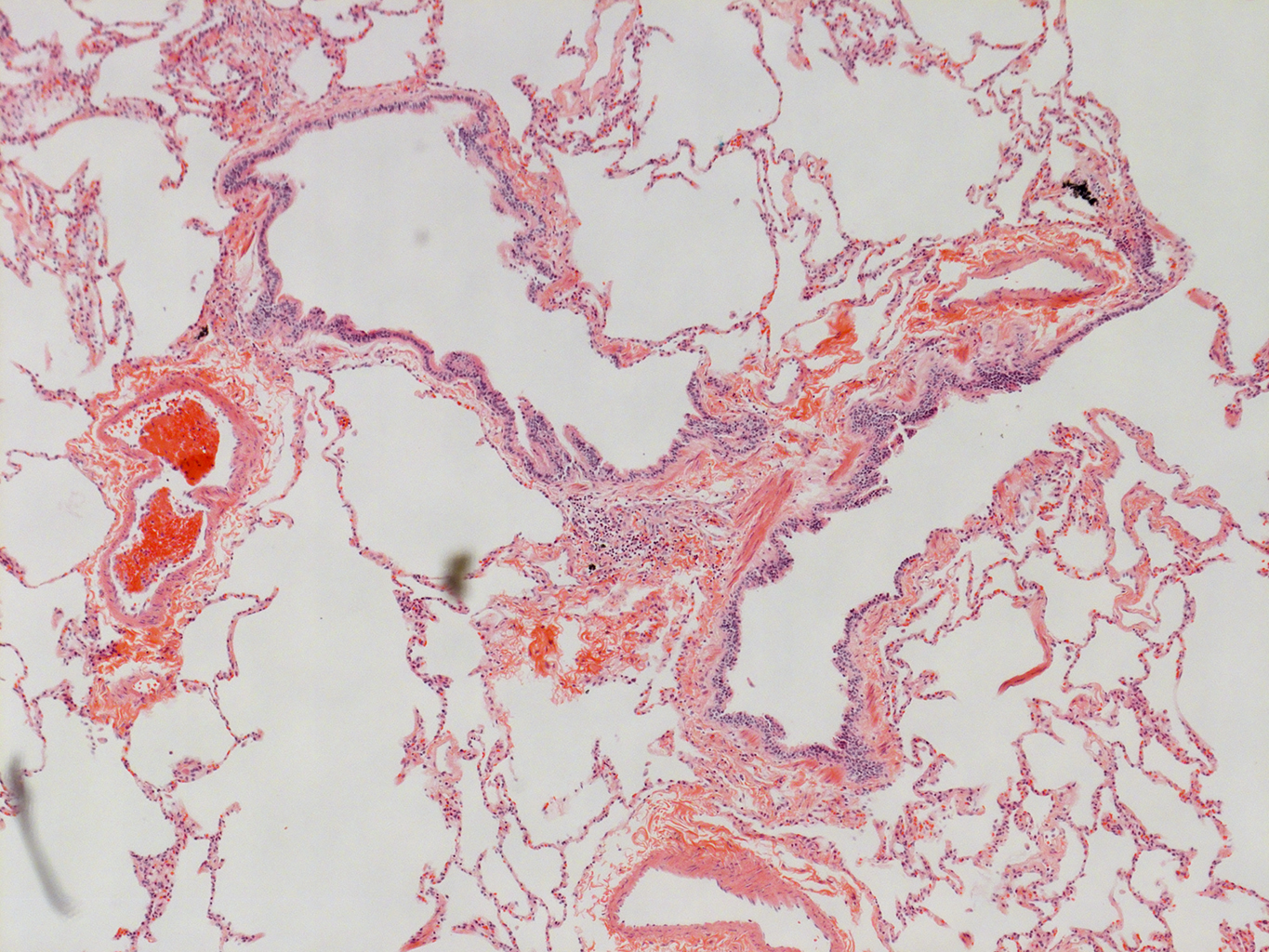
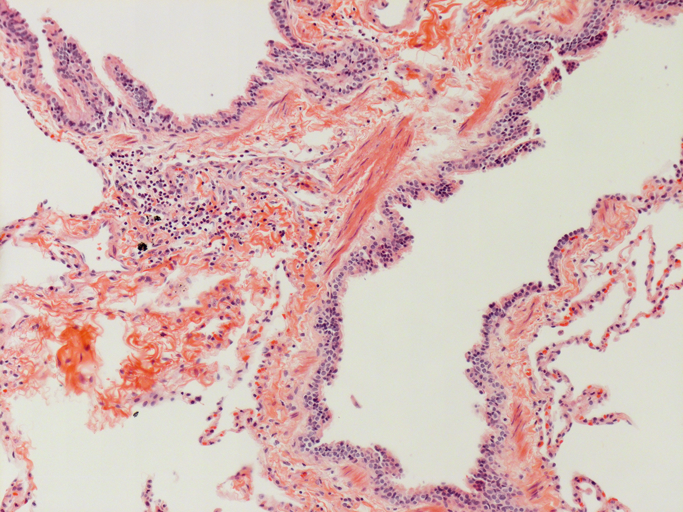
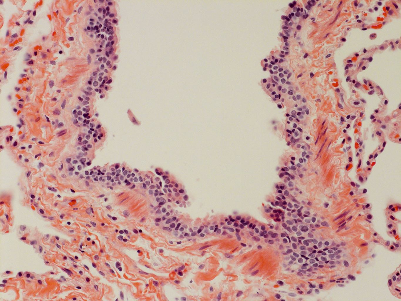
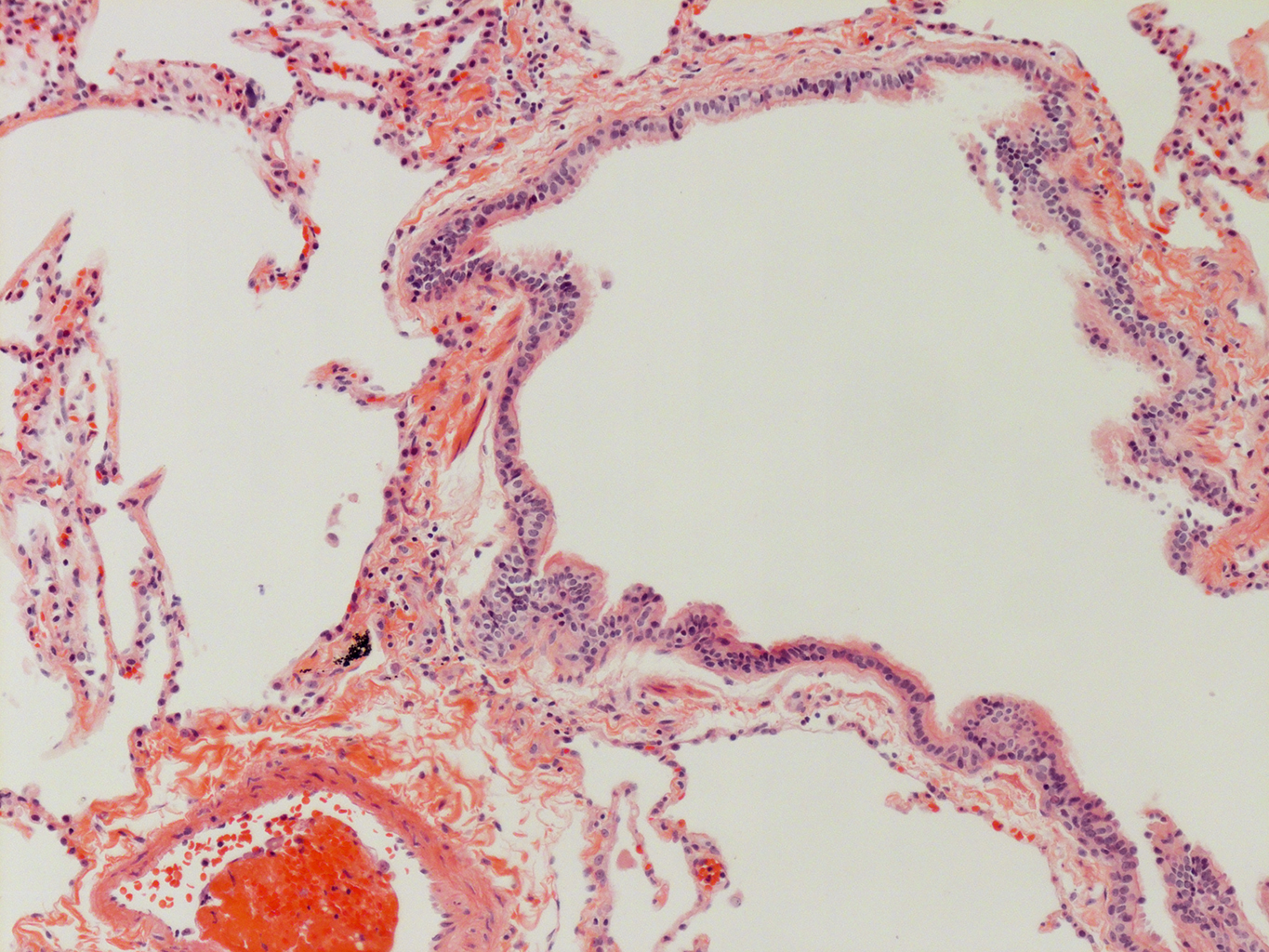
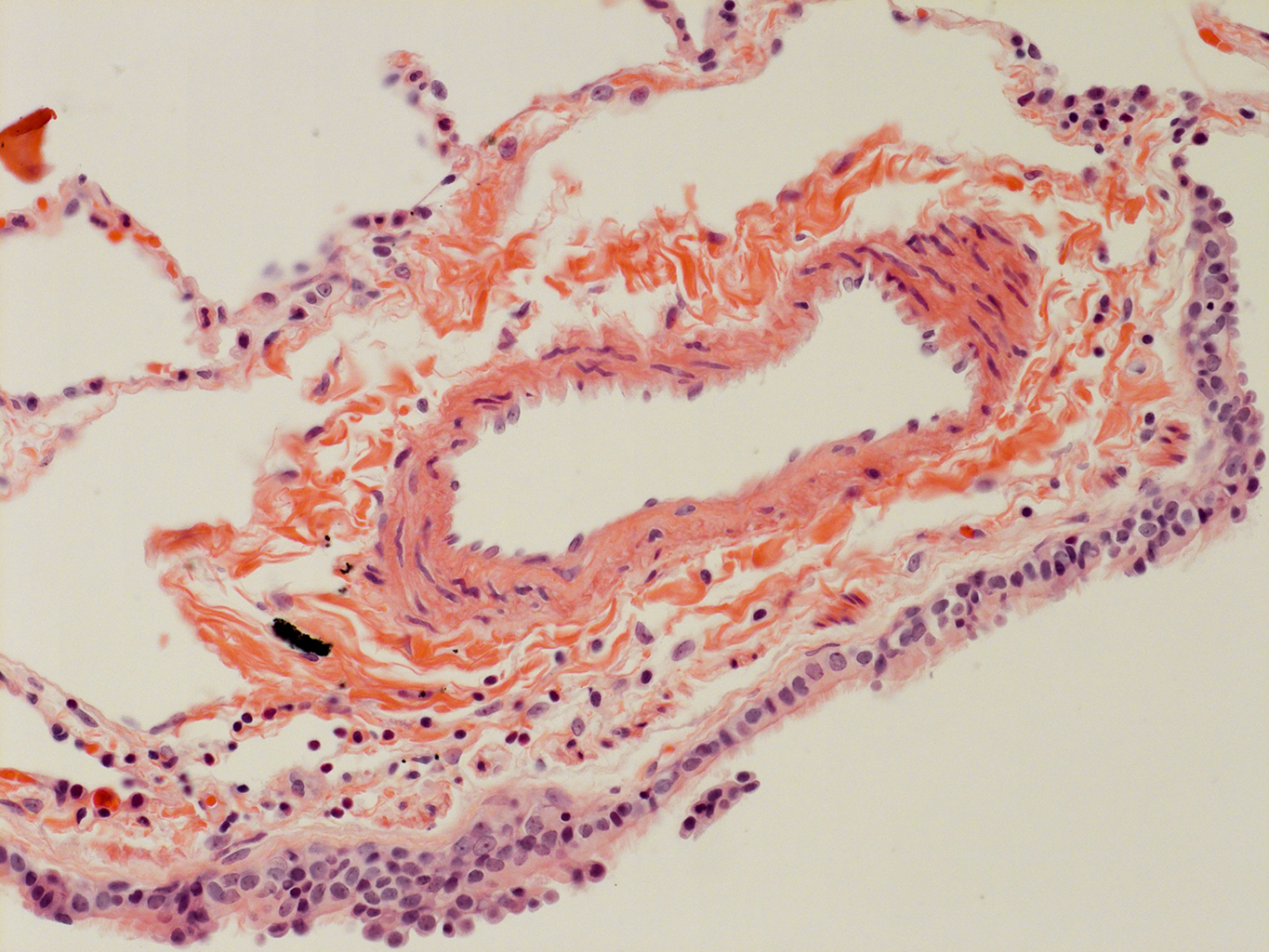
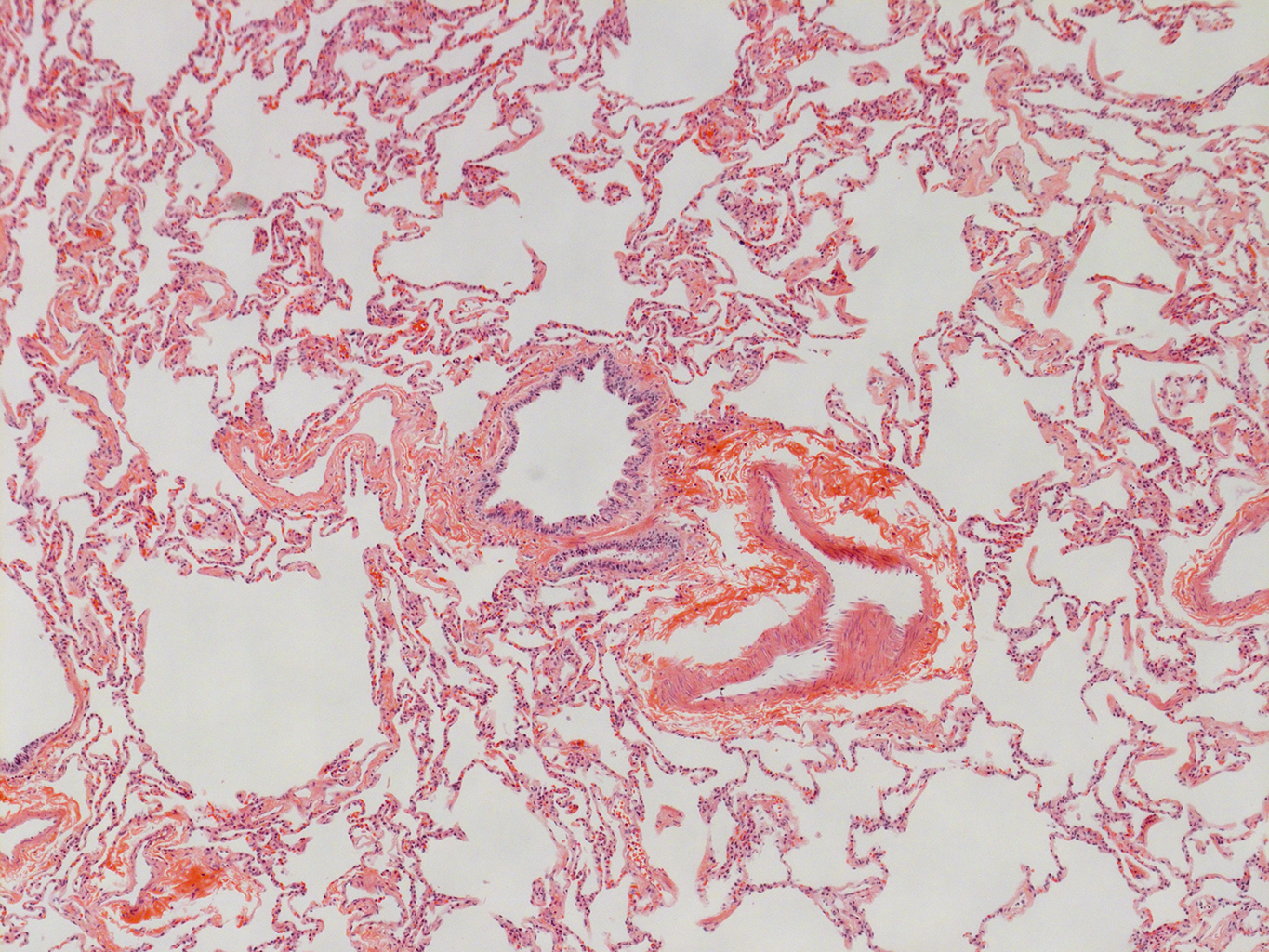
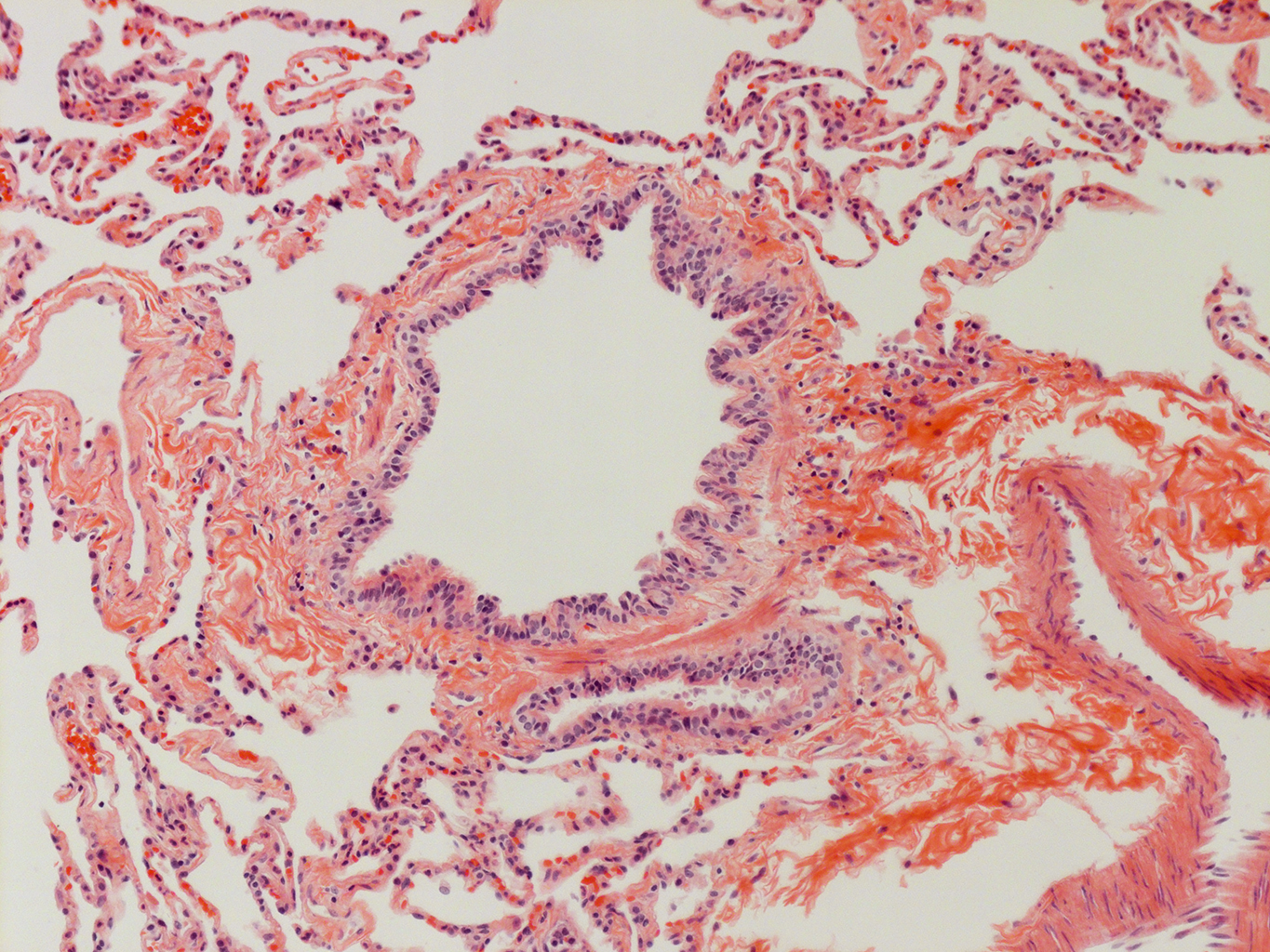
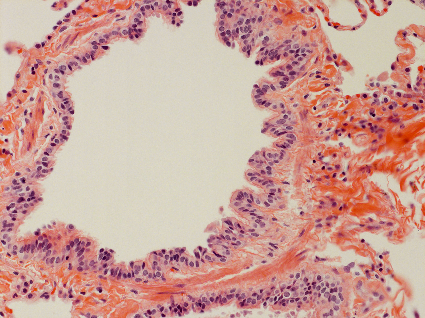
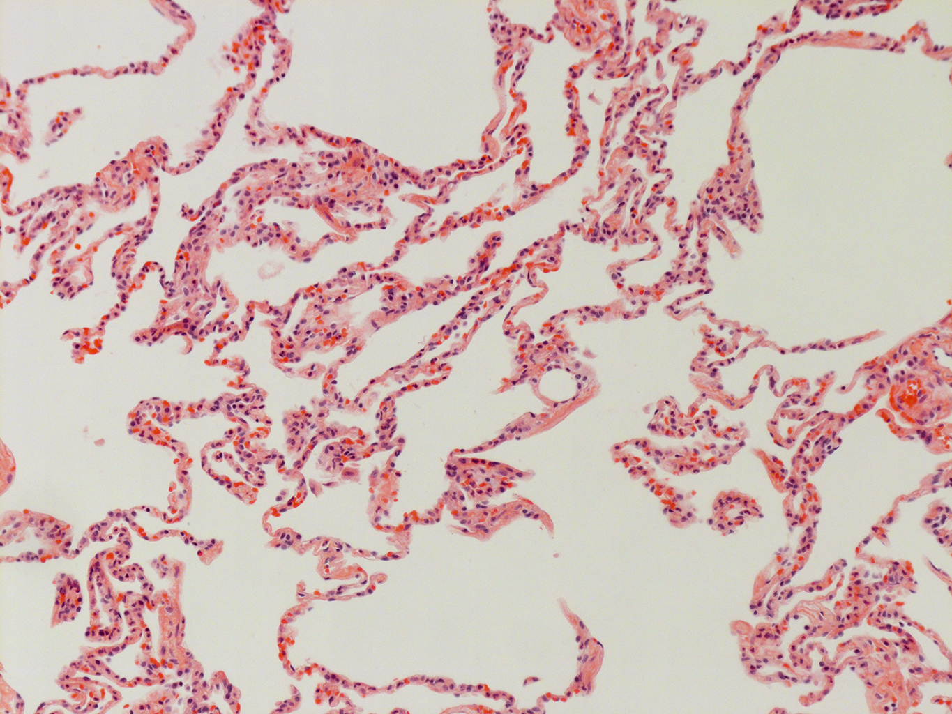
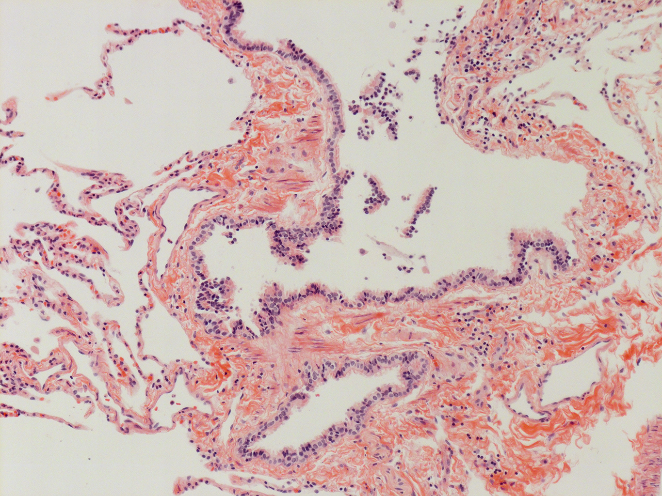
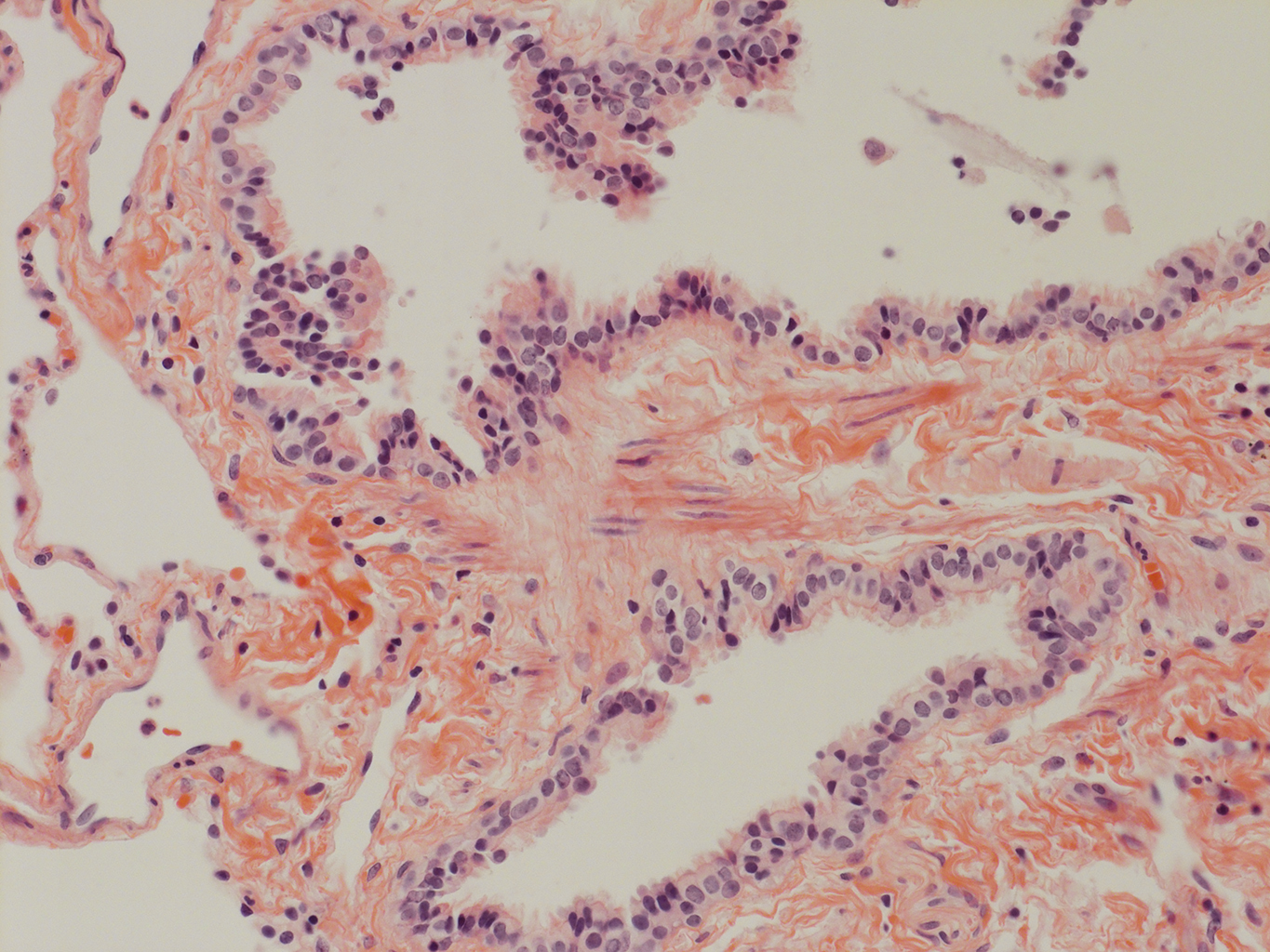
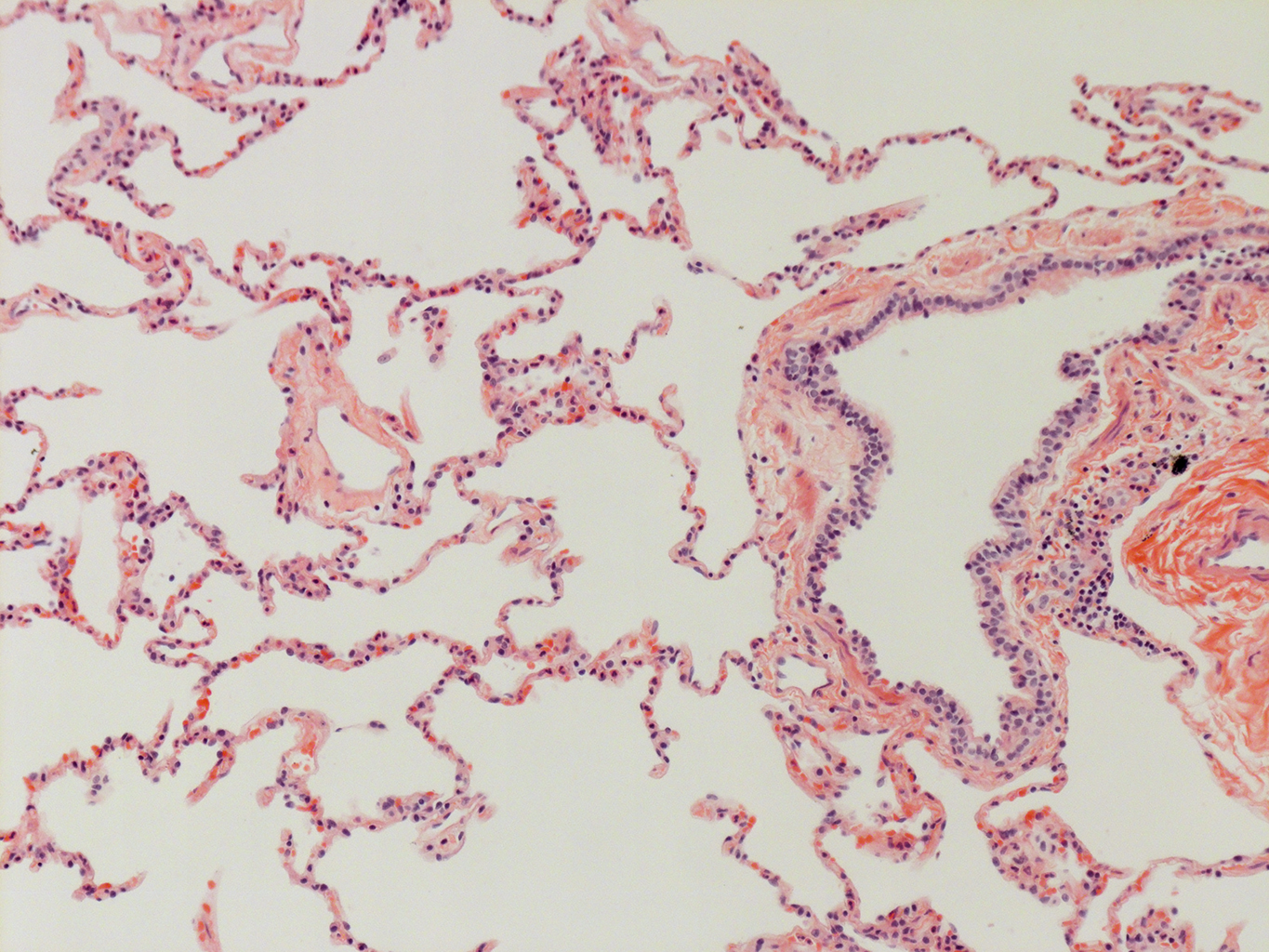
Tissue Used:
LMHA-15-UNC-2017-12-19_D0037L.05HP_3_48
Gender: Male
Age:Â 43 Year Old
Race: Hispanic
Non-Smoker



















